Transforme seu sorriso com quem já realizou mais de 2000 lentes em 2025


Dr. Vinicius Baraldi
Odontologia Estética

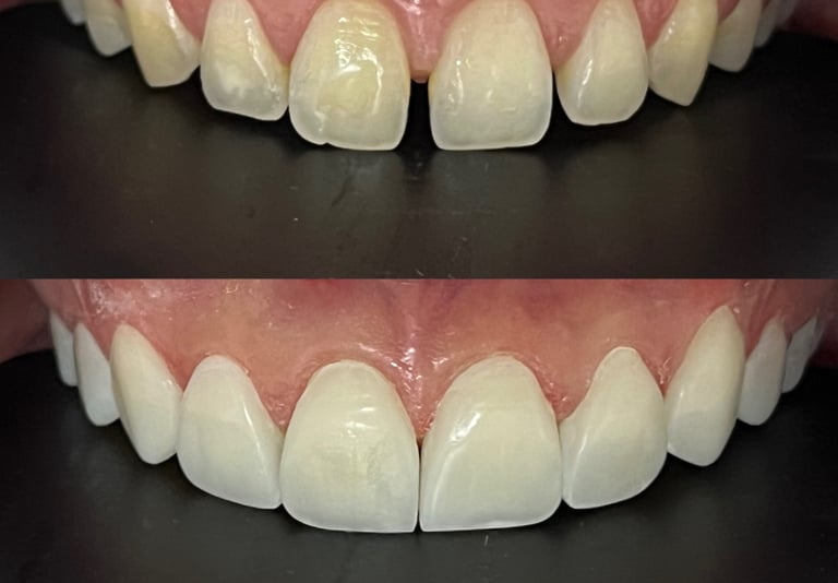
O que são as lentes em resina ?
As lentes são um acréscimo de resina colocado na parte da frente do dente, sendo assim não precisando de desgaste e resultando em um procedimento indolor, realizado em poucas horas com resultado imediato.
Elas tem como indicação: desgastes extensos, correção de cor (conseguimos deixar seu sorriso desde a tonalidade natural até o extra branco), formato, alinhamento (Recuperação dos dentes quebrados, desgastados e com pequenos desalinhamentos, serão corrigidos com a transformação do sorriso) e diastemas (espaços interdentais).



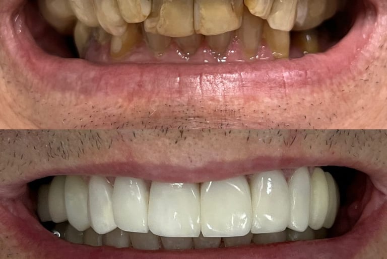
Algumas transformações realizadas













Quais as indicações das Lentes em Resina
Correção de cor
Conseguimos deixar seu sorriso desde a tonalidade natural até o extra branco.


Diastemas
O espaço natural entre os dentes, mais comum entre os incisivos superiores. Pode ser uma característica natural da dentição ou resultar de desalinhamentos dentários.
Formato e Alinhamento
Recuperação dos dentes quebrados, desgastados e com pequenos desalinhamentos, são corrigidos através das lentes em resina.





Sou especialista em Lentes em resina e Odontologia Estética. Durante minha jornada, já realizei mais de 3 mil lentes em resina usando uma técnica minimamente invasiva que desenvolvi ao longo da minha trajetória. Sempre visando uma abordagem cuidadosa e adaptada para atender aos objetivos individuais de cada paciente.
Na minha técnica exclusiva, conseguimos produzir lentes em resina naturais e resistentes através de uma fina camada, além da aplicação de uma blindagem nas lentes, possibilitando assim, preservar a estrutura dental, manter um sorriso harmônico e protegido da pigmentação.
Dr. Vinicius Baraldi
Sobre mim

Blindagem
Além do polimento, aplicamos uma blindagem especial, envolvendo cada lente com uma película protetora que as torna resistentes e brilhantes. Essa inovação não apenas preserva a intensidade da coloração das suas lentes, mas também as impermeabiliza, permitindo que você mantenha sua rotina alimentar sem preocupações. Com nossa técnica única, você não apenas transforma seu sorriso, mas também investe na sua confiança e bem-estar dental.



Dúvidas Frequentes
Lentes em resina – Tratamento estético funcional que é possível reabilitar um paciente com excelente material, que possui uma boa durabilidade, sem desgaste dos dentes naturais, na maioria dos casos, e com um custo benefício mais atrativo. Para saber mais sobre os valores do seu investimento, entre em contato conosco clicando no botão do "WhatsApp".
QUAL O PREÇO DAS LENTES DE RESINA?
O procedimento é realizado em uma única sessão, variando de 02:00 á 04:30 dependendo da quantidade de dentes
Será apresentada todas as opções, de cor, formato e transparência, afim que juntos possamos definir qual será a ideal para seu sorriso atendendo todas as suas expectativas.
As lentes requerem os mesmos cuidados de um dente natural, ou seja escovar, fio dental e limpeza profissional para remoção de tártaro de 6 em 6 meses.
É realizado um polimento nas lentes e finalizadas com uma película protetora, assim impermeabilizando de possíveis manchas, mas sempre necessários manter os cuidados de higienização.
QUANTO TEMPO É REALIZADO O PROCEDIMENTO ?
COMO ACONTECE A SELEÇÃO DE COR ?
QUAL A DURAÇÃO DAS LENTES ?
AS LENTES MANCHAM ?
